La quantité de fluor présente dans les eaux minérales est très variable et il est important pour vous de bien la connaître.
Blog - Page 10
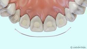
Invisalign® est un traitement orthodontique basé sur le port successif d’une série de gouttières transparentes.
Testez vos connaissances, et trouvez les réponses aux questions sur votre santé bucco-dentaire.
Le PRF (Protéine Riche en Fibrine) est un concentré de plaquettes sanguines et cellules immunitaires, accélérateur du temps de cicatrisation.
Grâce au développement de techniques discrètes et confortables, de plus en plus d’adultes ont recours à l’orthodontie.
Un cabinet dentaire est très consommateur de ressources en énergie et en matériel. Or, le respect de l’environnement est devenu l’affaire de tous.











